West Dulwich Dental
Dental Implants
Are You Missing Teeth? Dental Implants Can Replace Missing Teeth
Traditionally, removable dentures and fixed bridges were once the only solutions to replace missing teeth.
Today, Dental Implants are quickly becoming the ideal option. The structure is just like a natural tooth, consisting of a titanium screw (the implant) to act as a root.
This is placed into the jawbone and acts as a base to which a replacement tooth is fixed. Like a natural tooth, a dental implant needs proper maintenance and in doing so, can last for at least 15 years or possibly a lifetime.
Book A Consultation For Dental Implants
How Much Are Dental Implants?
When compared to dentures or bridges, which may need to be replaced several times over a lifetime, dental implants, if maintained, are a more cost effective treatment in the long term.
Dentures are removable and therefore need to be taken out of the mouth to be cleaned. Over time, they generally do not fit as well as when they were first made, and as a result, the denture becomes ill fitting and needs to be replaced.
Dental bridges rely on stable teeth adjacent to the missing tooth/teeth to be shaved down in order to act as abutments (anchors) for the bridge teeth. If these anchors fail over time, then the number of missing teeth increases.
By comparison, dental implants are a fixed solution that replaces one or more teeth, that are independent from your natural teeth, and most importantly, that are durable like your natural teeth.
The treatment time and costs of dental implants will depend on the complexity of the treatment required. Each case is thoroughly planned and discussed with each patient to ensure the best treatment outcome.
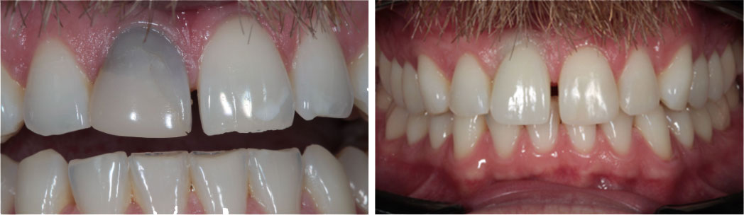
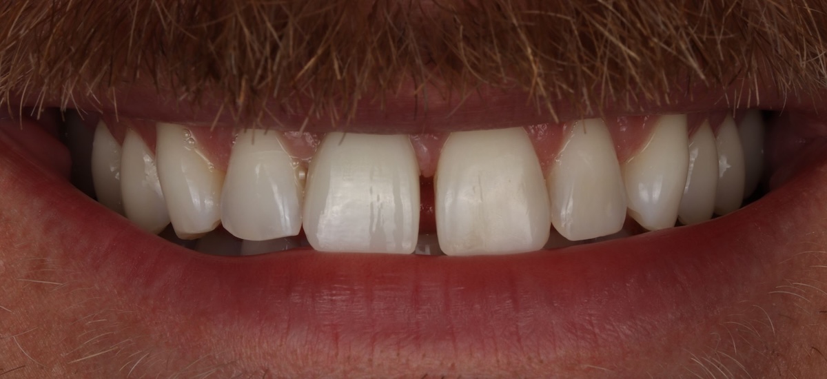
Before & After



Patients Guide To Dental Implants
Single Tooth Implant
Multi-Tooth Implant
All On 4 Implants
In-House CBCT/OPG
To offer our patients the best in Dental Technology
Sirona Orthophos S
This is the scanner that sets a new standard in patient protection and infection control. It is not only hygienic by design, but also smaller, lighter, and designed to fit perfectly in every hand. On top of that, it comes with our new ScanAssist engine for perfect scan results, for ultimate connectivity. Simply hygienic. Simply ergonomic. Simply effortless.

Experience Better Dental Care with Sirona Orthophos S
The Sirona Orthophos S brings you the latest in dental imaging technology, designed to enhance your comfort and improve your treatment outcomes:

Clearer, More Accurate Images
- Sharp, focused images even in complex cases
- Helps your dentist make more precise diagnoses

Flexible Imaging Options
- Various scan sizes to suit your specific needs
- Reduces unnecessary radiation exposure

Comfortable and Consistent Positioning
- Patented bite block ensures you're positioned correctly every time
- Motorized supports and sturdy handles for your comfort and stability

Lower Radiation Dose
- Option for 3D images with radiation levels similar to traditional 2D X-rays
- High-definition images available when needed for detailed examinations

Comprehensive Imaging Capabilities
- One machine for all your dental imaging needs
- Optional ceph arm for orthodontic imaging

Quick and Efficient Scans
- Streamlined process saves you time in the dental chair
With the Sirona Orthophos S, you can feel confident knowing your dentist is using advanced technology to provide you with the best possible care.

3 Shape Trios 5
This is the scanner that sets a new standard in patient protection and infection control. It is not only hygienic by design, but also smaller, lighter, and designed to fit perfectly in every hand. On top of that, it comes with our new ScanAssist engine for perfect scan results, for ultimate connectivity. Simply hygienic. Simply ergonomic. Simply effortless.
Intelligent scanning - ScanAssist Engine
We worked hard on making scanning even simpler. At the heart of TRIOS 5 is our ScanAssist engine.
Its intelligent alignment technology for building up a 3D model results in precision scans, effortlessly and efficiently. Every time. So you can concentrate on providing the excellent care that makes your patients smile.

Experience Comfortable, Safe, and Efficient Dental Scans with 3 Shape Trios 5
The 3Shape Trios 5 brings you the latest in dental scanning technology, designed to enhance your comfort, safety, and overall dental experience:

Superior Hygiene and Infection Control
- Sets a new standard in patient protection
- Designed with your health and safety in mind

Comfortable Scanning Experience
- Smaller and lighter scanner
- Fits perfectly in your dentist's hand for easier maneuvering

Quick and Effortless Scans
- Intelligent ScanAssist Engine ensures precise scans every time
- Reduces time spent in the dental chair

Improved Accuracy
- Advanced technology creates highly accurate 3D models of your teeth
- Helps your dentist provide better-fitting restorations and treatments

Enhanced Patient Care
- Allows your dentist to focus more on your needs and less on operating the equipment
- Supports a wide range of dental procedures for comprehensive care

Seamless Integration with Your Treatment Plan
- Ultimate connectivity ensures your scan data is readily available for your treatment
With the 3 Shape Trios 5, you can enjoy a more comfortable scanning experience while knowing that your dentist is using cutting-edge technology to provide you with the best possible care.