Smile Makeover
West Dulwich Dental
Smile Makeover
Smile Makeover
“A picture is worth a thousand words but your SMILE is worth a million”
It is one of the first things people notice about you and it says a lot about you. Whether it is due to crooked, missing, damaged or discoloured teeth, being unhappy with your smile can affect your everyday life.
The concept of smile design is to improve the appearance of your teeth and gums by addressing the root cause of the problem. Something as simple as replacing discoloured fillings can have a huge impact on your smile but many people require more complex treatment involving orthodontics, teeth whitening, implants, crowns, bridgework or veneers.
At West Dulwich Dental, before commencing any treatment, communication with you is vital. Understanding how you want your teeth to look is key to getting that smile worth a million words.
Call us today to arrange a Smile Makeover Consultation to see how we can help.
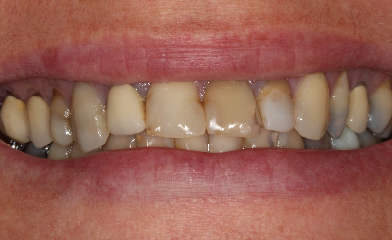
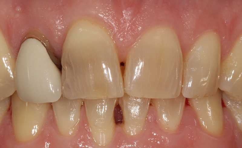
- Are you unhappy with your old crowns or veneers?
- Do you feel they don’t look as natural as your other teeth?
- Can you see a black line around the gum line?
In some instances, replacing an old crown or veneer can be all that is required to transform your smile.
Patient Review
Dennis is a great dentist. Coming from a dentist he has got excellent communication skills explaining all options and procedures really well. Very well looked after practice where dental fees are reasonable. Difficult to find a practice that offers this personal service by the owner, high quality dentistry and reasonable fees.
Highly recommended
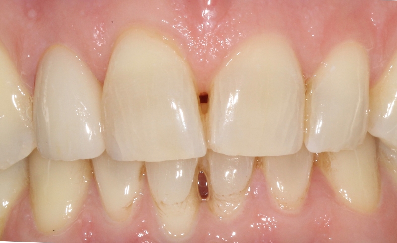
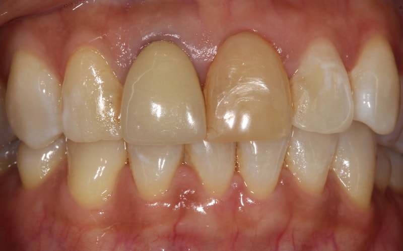
Before And After







After Whitening

After Bonding
Porcelain Dental Veneers
For a beautiful smile, enhance it with porcelain dental veneers. This treatment is very popular and has been around for many years to create beautiful natural looking smiles.
Dental veneers are very thin, but strong porcelain shells that are bonded to the front of your teeth. They are handmade at a dental lab to precisely the right shape and shade to suit you. Once in place the veneers look and function like natural teeth.
Veneers are recommended if your teeth are chipped, crooked, discoloured, or worn down. Porcelain dental veneers can also be used to close gaps between your teeth when cosmetic braces are not suitable. Whatever the situation, you can have a new beautiful and confident smile with porcelain veneers.
Dental Crowns
When teeth are broken and not functioning as they should, they can be replaced with dental crowns to restore their look and function. They can be made from porcelain, are metal free, and look natural (unlike traditional crowns that show a metal line next to the gum line). A crown can also strengthen your teeth when fillings become too large to stay in place.
Dental crowns can also be used on the back teeth after root treatments to reinforce the tooth.
When used correctly, crowns can restore your ability to chew, strengthen weak teeth, and improve the look of your smile.
The procedure for crowns placement involves reducing the size of the original tooth so that the new crown can fit over it. Crowns need to be made at a dental lab as they are bespoke to the look and size of your natural teeth. While this process is happening, a temporary crown is fitted over the tooth until the permanent crown arrives. On the next visit to the dentist, the temporary crown is removed and the new bespoke crown is cemented to the original tooth.